非洲猪瘟病毒内囊膜蛋白p17与宿主互作蛋白的初步鉴定
■ 导读
畜禽健康是保障生产性能及获取美味肉质的前提。然而,我国畜牧业的发展长期以来饱受各种疫病的困扰。深入开展“病原-宿主”间的互作规律,摸清病原致病机制对于疫病的综合防控至关重要。
钟桂芳等以当前危害我国养猪业的“头号杀手”——非洲猪瘟病毒为研究对象,通过免疫沉淀技术联合蛋白质朴分析,初步筛选出与非洲猪瘟病毒内囊膜蛋白p17潜在的宿主互作蛋白,进一步通过免疫共沉淀技术和激光共聚焦实验确认了p17与线粒体膜蛋白及热休克蛋白的互作,为进一步探索p17在非洲猪瘟病毒感染过程中的功能提供了重要信息。论文概览
标题
非洲猪瘟病毒内囊膜蛋白p17与宿主互作蛋白的初步鉴定
作者
钟桂芳,邓婷娟,徐康,倪温碧,王裴,胡伯里,周继勇
引用
钟桂芳, 邓婷娟, 徐康, 等. 非洲猪瘟病毒内囊膜蛋白p17与宿主互作蛋白的初步鉴定. 生物工程学报, 2022, 38(8): 2883-2890.
摘要:非洲猪瘟病毒 (African swine fever virus, ASFV) 的感染导致猪的死亡率高达100%,给养猪业造成毁灭性灾难。因此,开展针对ASFV感染复制的研究有着重大的意义。目前发现ASFV有超过150个开放阅读框,其中D117L基因编码的内囊膜蛋白p17参与病毒二十面体结构的形成,但是对p17调控宿主细胞功能的机制知之甚少。研究通过免疫沉淀技术联合蛋白质谱分析,初步筛选出与ASFV p17潜在的宿主互作蛋白。通过进一步免疫共沉淀技术和激光共聚焦实验确认了p17与线粒体外膜蛋白TOMM70 (translocase of outer mitochondrial membrane 70)、热休克蛋白HSPA8 (heat shock 70 kDa protein 8) 的互作。该研究为进一步探索p17在ASFV感染过程中的功能提供了重要信息。图片摘要

图1 Flag-p17 (A)、Myc-p17 (B) 和Myc-TOMM70 (C) 重组质粒表达验证

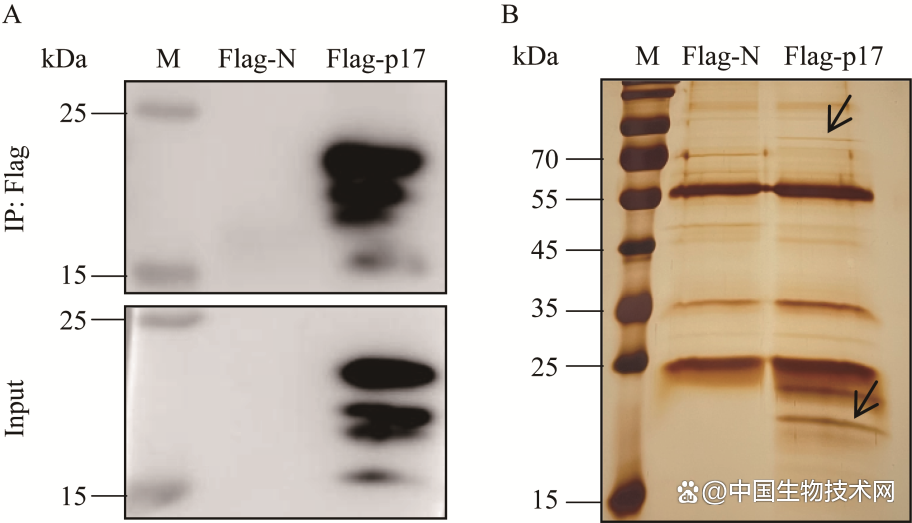
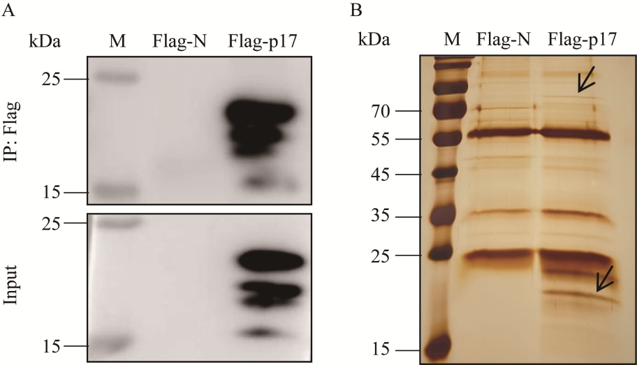
图2 免疫共沉淀Western blotting (A)、SDS-PAGE和银染分析 (B)

图3 潜在宿主互作蛋白TOMM70 (A)、TRAP1 (B)、HSPA8 (C) 和HSPA1L (D) 的质谱图

图4 p17与宿主蛋白TOMM70 (A)、HSPA8 (B)、HSPA1L (C) 和TRAP1 (D) 互作验证

图5 激光共聚焦TOMM70/HSPA8与p17共定位验证
更多内容,详见原文!
原文链接:
https://cjb.ijournals.cn/html/cjbcn/2022/8/gc22082883.htm
{{item.content}}